Implantologie: Diagnostik

Sie sind hier: Home » Leistungen » Implantologie » Diagnostik

Jeder Zahnverlust verursacht Veränderungen und Abbau des zahntragenden Kieferabschnitts.

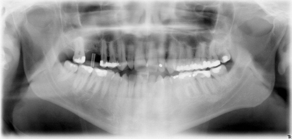
Für ein Implantat werden sowohl eine Mindest-Knochentiefe als auch ein Sicherheitsabstand im Unterkiefer zum Nervenkanal vorausgesetzt. Die Knochentiefe wird durch spezielle Röntgendiagnostik ermittelt.

Panorama-Röntgenaufnahme

Panorama-Röntgenaufnahme

Implantat im Oberkiefer

Die reale Knochenhöhe wird mit Hilfe einer Tiefziehschiene mit eingearbeiteten Metallkugeln ermittelt. Bei digitalen Röntgengeräten kann gegebenenfalls auf die Messaufnahmen verzichtet werden, da sie über ein integriertes Messtool verfügen. Zur Detailabklärung kann es erforderlich sein, zusätzliche Aufnahmen von einzelnen Zahnabschnitten zu machen.

Durch die Computertomographie kann die Lage der später zu setzenden Implantate im Vorfeld schon auf den Millimeter bestimmt werden.

Die langzeitprovisorische Versorgung wird daraufhin im Labor hergestellt und während des OP-Termins nach Einpflanzung der Implantate sofort eingepasst.

Der Eingriff wird in der Regel unter Lokalanästhesie geführt, bei größeren und längeren Eingriffen ist es auch möglich, diese in Vollnarkose ambulant durchzuführen. Dies führt zu einem stressfreien Ablauf für den Patienten.

Mehr zu Implantaten:

Mehr zu Implantaten:

Praxis für Zahnheilkunde
Zertifizierter Tätigkeitsschwerpunkt
Endodontie/Wurzelbehandlung

Dr. Michael Dörzapf
Karlstr. 158
66127 Klarenthal

Kontakt:
Tel.: 0 68 98 / 39 5 77
Fax: 0 68 98 / 39 5 76
dr@doerzapf.com

Öffnungszeiten:
nach Vereinbarung


Zahnzusatzversicherungen im Vergleich:

www.waizmanntabelle.de

zum Vergrößern klicken...

Ästhetische Zahnmediziner
in Saarbrücken auf jameda

Wir verwenden Cookies um unsere Website zu optimieren und Ihnen das bestmögliche Online-Erlebnis zu bieten. Mit dem Klick auf „Alle erlauben“ erklären Sie sich damit einverstanden. Weiterführende Informationen und die Möglichkeit, einzelne Cookies zuzulassen oder sie zu deaktivieren, erhalten Sie hier und in unserer Datenschutzerklärung.

Einstellungen