Wurzelbehandlung: Technik

Sie sind hier: Home » Leistungen » Wurzelbehandlung » Technik

Kofferdam

Kofferdam

Für eine effiziente Wurzelbehandlung müssen Bakterien restlos aus dem Wurzelkanal beseitigt werden.

Dafür benutzt man einen speziellen Spanngummi, genannt "Kofferdam", der sowohl den Zahn isoliert, als auch das Eindringen von Bakterien aus der Mundhöhle in den Zahn verhindert. Gleichzeitig wird vermieden, dass der Patient kleine Instrumente oder Materialien verschluckt.

Unter örtlicher Betäubung ist die Behandlung in der Regel schmerzfrei. Nach Entfernung der Karies und nach der Schaffung eines Zugangs in den Zahn werden die Kanaleingänge dargestellt und die Länge jedes einzelnen Kanals wird möglichst exakt unter Anwendung von Röntgen ausgemessen. Abhängig vom zu behandelten Zahn kann die Anzahl der Kanäle stark variieren.

Mit Hilfe der elektronischen Längenmessung und digitalen Röntgenbildern können die Länge und Krümmung der Kanäle bestimmt und der Verlauf beurteilt werden.
Danach erfolgt die Aufbereitung mit Hilfe von speziellen, sehr feinen und hochflexiblen Instrumenten aus einer Nickel-Titan-Legierung.
Danach werden die Kanäle gereinigt und so ausgeformt, dass später eine dichte Wurzelfüllung möglich ist. Für eine möglichst vollständige Reinigung des Kanalsystems wird die mechanische Aufbereitung durch Spülungen mit desinfizierenden Lösungen und Ultraschall ergänzt.

Spülung des Wurzelkanals

Kanalaufbereitung

Wurzelfüllung

Da die Wurzelkanäle sehr klein sind und sich oft verzweigen, ist es nicht immer einfach, alle Kanäle mit ihren Seitenästen aufzufinden.
Bei der modernen endodontischen Behandlung können durch ein Dentalmikroskop auch kleinere Kanälchen aufbereitet werden, die man auch mit einer Lupenbrille nicht finden würde.
Nur wenn das Wurzelkanalsystem komplett aufgefunden und gereinigt wird, hat eine Wurzelkanalfüllung eine gute Langzeitprognose.

Fallbeispiel für einen Seitenrand

Fallbeispiel für einen komplexen Kanalverlauf

Die Vorteile der Aufbereitungstechnik mit Hilfe des Dentalmikroskops

Aufsicht auf freigelegte Kanaleingänge mit Hilfe eines Dentalmikroskops bei geringer Vergrößerung

Normalerweise werden Wurzelkanalfüllungen bisher teilweise "nach Gefühl" durchgeführt, da der Zahnarzt den genauen Verlauf der Wurzelkanäle nicht immer eindeutig erkennen kann und kleinere Kanäle oft gar nicht aufzufinden sind.
Durch eine bis zu 24-fache Vergrößerung sind die Kanäle besser darstellbar und dadurch auch effizienter zu reinigen. Durch Reste von Pulpagewebe im Wurzelkanalsystem kann eine Entzündung entstehen, mit der Folge einer erneut notwendigen Wurzelkanalbehandlung oder dem Zahnverlust.
Der Einsatz des Mikroskops ist keine Garantie für den Erfolg einer Wurzelbehandlung , erhöht aber deutlich die Erfolgsquote und führt zu einem vorhersagbarerem Ergebnis.

In Verbindung mit moderner Abfülltechnik , die eine 3-dimensionale Abfüllung der Kanäle ermöglicht, sind bei Ausschöpfung aller Möglichkeiten Erfolge von über 90 % möglich.

Auch bisher häufig als unrettbar eingestufte Zähne sind durch diese aufwendige Techniken häufig zu erhalten.

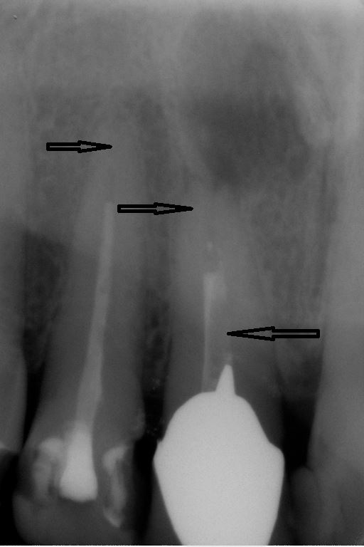
Fallbeispiel für eine große Entzündung an der Wurzel

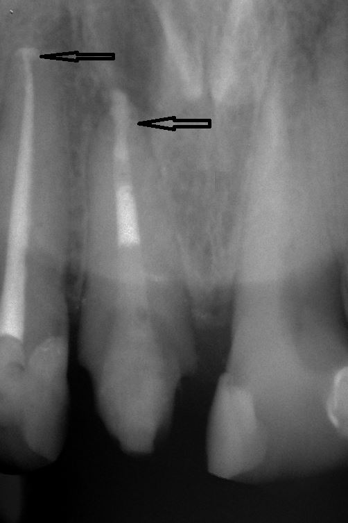
Wurzel nach erfolgreicher Behandlung 2 Monate später schon fast ausgeheilt

In der Regel wird die gesamte Behandlung in einer Sitzung durchgeführt.
Manchmal kann eine Wurzelkanalbehandlung nicht in einer Sitzung abgeschlossen werden. In diesem Fall wird der Zahn bis zum nächsten Termin mit einer medikamentösen Einlage versorgt.

Für einen langfristigen Erfolg ist auch entscheidend, dass die Zahnkrone bei kleinen Defekten adhäsiv restauriert wird und bei großen Defekten häufig mit einem Stiftaufbau und Zahnersatz versehen wird.

Auch bei einer befriedigenden Wurzelfüllung kann der Erfolg versagt bleiben. Ursachen für Misserfolge sind z. B. wenn zuvor aufgrund einer komplexen Kanalanatomie die Reinigungswirkung zu gering war und dadurch die Kanäle nicht ausreichend von Bakterien befreit werden konnten. In solchen Fällen kann es gelingen, den Zahn durch eine kompromisslose Revision (Wiederholung) der Wurzelkanalbehandlung zu erhalten.

Die endodontische Revision

Im ersten Schritt wird nach der Eröffnung des Zahnes die alte Wurzelfüllung entfernt und es erfolgt die Reinigung des gesamten Systems. Nach dem Reinigen wird für einige Zeit ein desinfizierend und gewebsauflösendes Medikament in den Zahn eingebracht, welches die Desinfektion auch in schwierig erreichbaren Nebenbereichen des Kanalsystems unterstützt.
Sind Reinigung und Desinfektion des Zahnes abgeschlossen, werden die sauberen Kanäle mit der thermoplastischen Obturation 3-dimensional verschlossen. Auch die kleinen Seitenkanäle können so verschlossen werden.

Fallbeispiel für eine unvollständige Wurzelfüllung

nach Revision und dichtem Verschluss

Gelegentlich sind zusätzliche chirurgische Behandlungen wie eine Wurzelspitzenresektion erforderlich.

Praxis für Zahnheilkunde
Zertifizierter Tätigkeitsschwerpunkt
Endodontie/Wurzelbehandlung

Dr. Michael Dörzapf
Karlstr. 158
66127 Klarenthal

Kontakt:
Tel.: 0 68 98 / 39 5 77
Fax: 0 68 98 / 39 5 76
dr@doerzapf.com

Öffnungszeiten:
nach Vereinbarung


Zahnzusatzversicherungen im Vergleich:

www.waizmanntabelle.de

zum Vergrößern klicken...

Ästhetische Zahnmediziner
in Saarbrücken auf jameda

Wir verwenden Cookies um unsere Website zu optimieren und Ihnen das bestmögliche Online-Erlebnis zu bieten. Mit dem Klick auf „Alle erlauben“ erklären Sie sich damit einverstanden. Weiterführende Informationen und die Möglichkeit, einzelne Cookies zuzulassen oder sie zu deaktivieren, erhalten Sie hier und in unserer Datenschutzerklärung.

Einstellungen